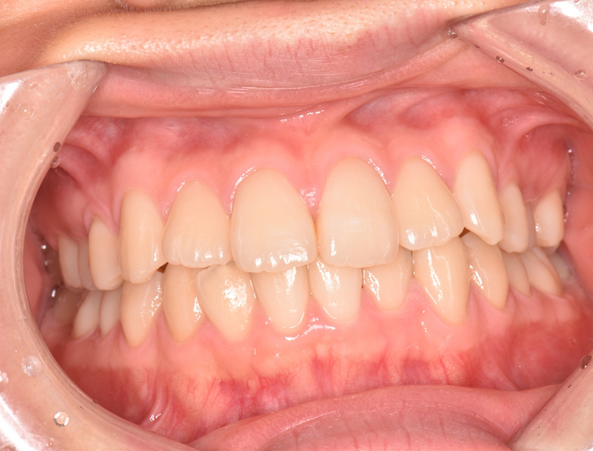
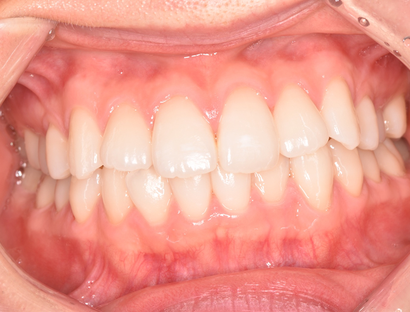
ホワイトニングとは、歯の表面や内部に沈着した色素を分解し、歯を明るく白くする施術です。
普段の歯みがきでは落とせない着色や黄ばみを改善し、笑顔をより美しく見せることができます。
歯の変色は、加齢、飲食物(コーヒー・紅茶・ワインなど)の摂取、喫煙、薬の影響など、さまざまな要因で起こります。
赤羽橋歯科・矯正歯科では、歯の健康を守りながら自然な白さを実現する施術を行っています。
当院にはホワイトニングコーディネーターが在籍しており、患者様一人ひとりに最適なホワイトニング方法をご提案いたします。








