大切な歯を守るために、スペシャリストによる本質的な歯周病治療
院長 岩田 優行
- 東京歯科大学口腔インプラント科臨床講師
- 歯学博士
- 日本口腔インプラント学会専門医
- 日本歯周病学会認定医
- 日本口腔インプラント学会所属
- 日本歯周病学会所属
- EAO所属
(European Association for Osseointegration)

私たちが、 すべての治療に責任を持って 向き合います

世界基準のインプラント治療を担うスペシャリスト
大切な歯を守るために、スペシャリストによる本質的な歯周病治療
学会認定医が叶える、信頼と品格の矯正治療
患者様一人ひとりに寄り添う精密な矯正治療
口腔外科のスペシャリストによる、全身の健康見据えた信頼の歯科治療
難症例にも対応する、精密な口腔外科治療
精密な外科治療
認定医による矯正治療
ホワイトニング
理想の歯並び
ホワイトニング
理想の歯並び




注射後の紅斑や内出血、一過性の局所的筋疲労・脱力感・突っ張り感等の自覚的違和感、いずれも経過とともに消退
歯と噛み合わせを
検査したい
治療期間6ヶ月
治療費6万円(税抜)



一時的に歯がしみることがあります。
効果には個人差があります。
ステインが付着した
歯を白くしたい
治療期間2ヶ月
治療費5万円(税抜)



一時的に歯がしみることがあります。
効果には個人差があります。
転職をするので
歯を白くしたい
治療期間1日
治療費3万円(税抜)



経年的に歯間が開いてくる可能性及び接着低下によりレジン脱離
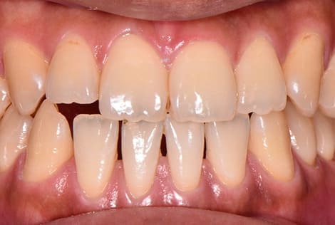
前歯のすきっ歯が気になる
治療期間2週間
治療費8万円(税抜)



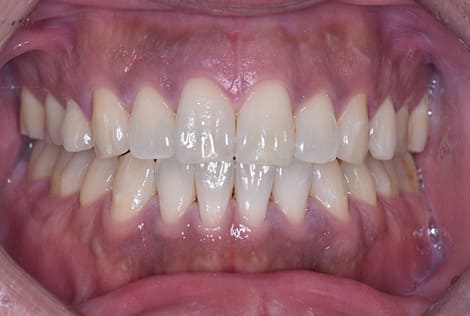
経年的に歯間が開いてくる可能性及び接着低下によりレジン脱離、レジン周囲変色
下の前歯のすきっ歯が気になる
治療期間2週間
治療費8万円(税抜)



インプラント粘膜炎およびインプラント周囲炎
虫歯により奥歯がなくなり、
噛みにくい
治療期間5ヶ月
治療費45万円(税抜)



経年的に少し色が戻る場合があります。歯牙が既に削れている場合は、効果が得られない場合があります。
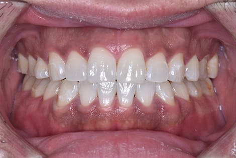
全体的な歯の色が気になる
治療期間3ヶ月
治療費44万円(税抜)
「ここに来てよかった」
と選ばれる理由があります
無理のない、納得できる治療
メリット・デメリットをできる限りわかりやすくご案内し、患者様にご納得いただいた上で治療を開始します。


view more →
専門性の高い治療
当院には複数の専門分野の歯科医師・歯科衛生士が在籍しているためあらゆる治療が可能になります。

インプラント・歯周病・口腔外科・矯正・ホワイトニングコーティネーター

インプラント・歯周病・口腔外科・矯正・ホワイトニングコーティネーター
view more →
見えるから、わかる。先進のデジタル技術で
見える・わかる安心の治療
歯科用CTにより、骨や神経の位置まで立体的に把握し、安全性の高い治療を可能にします。

当院では世界最高水準のCarl Zeiss社 EXTAROを使用し、肉眼では見えない部分まで確認しながら精密に治療します。

短時間で負担の少ない3Dスキャナーによる型取りに対応しています。当院ではiTeroとSHININGの2種類の機器を症例に応じて使い分け、精密な診断を行っています。

お顔全体を立体的に把握し、治療後の印象まで確認できます。(シャイニング社:メティスマイル)

view more →
忙しい方も無理なく通える
お忙しい患者様でも無理なく治療を続けていただけるよう、通院のしやすさを重視した環境を整えています。


view more →
衛生・安心・プライバシー
リラックスした環境でプライバシーを守りながら、患者様が安心して通える歯科医院を目指しています。


view more →
精密な診断と高い技術で
安心できる治療を提供いたします
難症例にも確かな技術で対応
インプラント専門医による信頼の治療
どんな不安にも応えます

インプラント専門医による信頼の治療
どんな不安にも応えます
豊富な経験をもとに、お口の状態やご希望に合わせた治療計画を立て、診断から治療、アフターケアまで一貫して丁寧に対応します。
インプラント治療では、事前の正確な診断が重要です。当院では歯科用CTとマイクロスコープを用いて状態を把握し、リスクを抑えた安全な治療を行っています。

見た目だけでなく噛み合わせも整える
矯正治療を担当する全員が
日本矯正歯科学会認定医を保有
あなたに合った治療法をご提案します

矯正治療を担当する全員が
日本矯正歯科学会認定医を保有
あなたに合った治療法をご提案します
日本矯正歯科学会認定医が在籍し、ワイヤー矯正からマウスピース矯正まで対応しています。口腔内Scannerにより、治療前に歯並びの分析を行います。
小児から成人まで対応し、ライフスタイルに合わせた矯正治療をご提案します。目立ちにくいマウスピース矯正にも対応しています。

見た目だけでなく噛み合わせも整える
“治す”だけで終わらせない認定医による
再発させないための歯周病治療

“治す”だけで終わらせない認定医による
再発させないための歯周病治療
日本歯周病学会認定医が在籍し、診査・治療からメンテナンスまで一貫対応しています。進行した歯周病には再生治療にも対応し、大切な歯をできるだけ長く守ります。
患者様一人ひとりのお口の状態に合わせた予防プログラムをご提案します。歯石除去や生活習慣に配慮したケアで、歯周病の再発防止と健康な口腔環境の維持をサポートします。

歯を自然に美しく
自然な白さとバランスで
第一印象がもっとキレイに

自然な白さとバランスで
第一印象がもっとキレイに
セラミック補綴やホワイトニング、ダイレクトボンディングなどを取り入れ、見た目の美しさとお口の健康を両立する治療を行っています。機能性も考慮した「審美×治療」をご提案します。
お悩みやご希望に合わせて最適な治療をご提案し、資格を持つ歯科衛生士が色調やケアまで含めて治療後もサポートします。

患者様の物語に耳を傾け、共に歩む歯科医療を
Meet the Director
歯科治療に対して「痛い思いをした」「直してもまた無駄になった」といった恐怖心や不信感をお持ちの患者様は少なくありません。当院では、そうした不安を和らげられるよう、
「気配り」「目配り」「思いやり」を大切にしています。
治療を始める際には、患者様の記号や不安をしっかり伺い、背景にある物語=ナラティブにも耳を傾けます。一方的な説明ではなく、十分に話し合いながら進めることこそ、信頼関係につながると考えています。
また、私たちは予防医療を重視しています。人生100年時代における健康維持を目指し、認定医・専門医に夜幅広い診療と先進の医療設備で多様なニーズに対応しています。
患者様の「治したい」というお気持ちと、
私たちの「治癒させたい」という思いが合わさってこそ、
良好な治療成績につながると信じています。
当院では、そうした不安を和らげられるよう、
「気配り」「目配り」「思いやり」を
大切にしています。
治療を始める際には、患者様の背景にある物語=ナラティブにも耳を傾けます。一方的な説明ではなく、十分に話し合いながら進め、信頼関係を築いていきます。
患者様の「治したい」というお気持ちと、私たちの「治癒させたい」という思いが合わさってこそ、良好な治療成績につながると信じています。
赤羽橋歯科・矯正歯科
院長 岩田優行
